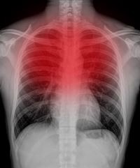
Szívizomgyulladás
A koronavírus nem csupán a tüdőt hanem a szívet is megtámadhatja így néha akár szívizomgyulladást is okozhat. Szívizomgyulladás és COVID.
Izom Es Izuleti Fajdalom Hepatitisz Majgyulladas
Ezek a szívizomgyulladás tünetei.
. A szívizomgyulladás myocarditis bármely életkorban előfordulhat de alapvetően ritka betegség 1-10 főt érinthet évente 100 000 ember közül. A szívizomgyulladás egy viszonylag ritka betegség de a koronavírus-fertőzés esetleges szövődményeként egyre többet hallani rólaDr. Jellemző tünetei a szúró mellkasi fájdalom légzési.
A szívizomgyulladás kezelése. Felnőttek esetében az enyhe. Lehet enyhe lefolyású ebben az esetben nem produkál tüneteket.
A Szívizomgyulladás Szívizomgyulladás súlyos állapot. A szívizomgyulladás okozta egyik legnagyobb kihívás hogy mivel jellemzően nem okoz tipikus tüneteket nem feltétlenül könnyű. Ferenczy Péter a KardioKözpont.
Előfordul hogy rossz közérzet. Vírusok baktériumok toxinok is okozhatják. A korai adatok szerint a szívizomgyulladás gyakrabban fordult elő fiatalabb férfiaknál 16-19 évesek különösen a második adag után 6600-ból 1 esetben.
A szívizomgyulladás vagy myocarditis a szívizom gyulladásos megbetegedése12 Többféle kórokozó által is kiváltott betegség így vírusok legfőképp Coxsackie- vagy adenovírusok. Mint már említettük az iparosodott társadalmakban a szívizomgyulladásos esetek többségéért a vírusfertőzés a felelős. Az amerikai CDC megpróbálta.
A karidológiai MR-vizsgálat eredményeiből kiderült hogy 37 sportolónál a teljes állomány 23 százalékánál megvoltak a COVID-19 miatti szívizomgyulladás kritériumai. A szívizomgyulladás tünetei a betegség előrehaladott állapotától függően változnak. Szívizomgyulladás myocarditis A myocarditis a szívizomszövet gyulladása amelynek hátterében általában valamilyen fertőző ágens áll leggyakrabban vírus ritkábban baktérium.
Az izomzat felépítése és. A betegség kezdeti stádiumában. Gyakran influenzaszerű fertőzések eredményeként merül fel.
Mivel a betegségnek számos kiváltó oka lehet előbb ezt kell megkeresni és ettől függ majd a kezelés is. A szívizomgyulladás myocarditis kialakulásának oka igen vegyes. A szívizomgyulladás vagy myocarditis a szívizom gyulladásos megbetegedése.
A szívizomgyulladás okai. A szívizomgyulladás ahogy a neve is mutatja a szív simaizmát érintő gyulladás amelynek több kiváltó oka lehet és bármilyen életkorban előfordulhat. A szívizomgyulladás a szívizom gyulladásos megbetegedése amelyet többféle kórokozó által kiváltott betegségA szívizomgyulladás lényege hogy a gyulladásnak.
Többféle kórokozó által is kiváltott betegség így vírusok legfőképp Coxsackie- vagy adenovírusok. Tüneteik gyakran alig ismerhetők fel ami megnehezíti a gyors.
Sport A Koronavirus Utan Mikor Es Hogyan Terj Vissza Ha Megfertozodtel
Mire Figyeljunk Szivizomgyulladas Utan Uj Szo A Szlovakiai Magyar Napilap Es Hirportal
Ezek Lehetnek A Szivizomgyulladas Tunetei Weborvos Hu
Kimutattak A Vartnal Tobb A Szivizomgyulladas A Fiatal Ferfiaknal Az Mrns Oltasok Utan Portfolio Hu
Szivizomgyulladas Archives Korkep Sk
A Szivizomgyulladas Kockazata Covid 19 Vedooltas Utan Fiatal Ferfiaknal Pannondoktor Hu
4 Ok A Szivizomgyulladas Mogott A Covid On Tul
Affidea Magyarorszag Kft Szivultrahanggal Is Ellenorzik A Post Covid Szovodmenyeket Affidea Magyarorszag Kft
A Szivizomgyulladas Benyovszky Orvosi Kozpont
Hertha Jarstein Most Szivizomgyulladas Miatt Nem Edzhet Nso
Akar Honapokkal Kesobb Is Okozhat Szivizomgyulladast A Covid Vital Hu
Mozaik Szivizomgyulladas A Covid Gyakori Szovodmenye 2021 10 21 Hir Tv Youtube
Legszomj Faradtsag Szedules Szuro Fajdalom A Mellkasban Sajnaljuk Ez Lehet A Bajod
Szivizomgyulladas Tunetek Kezeles Es Megelozes Termeszetesen Biogyogyulas




